Cervical Cancer Biomarkers For Diagnosis And Treatment : (PDF) Molecular biomarkers in cervical cancer diagnosis: A ... / A cancer biomarker refers to a substance or process that is indicative of the presence of cancer in the body.
Dapatkan link
Facebook
X
Pinterest
Email
Aplikasi Lainnya
Cervical Cancer Biomarkers For Diagnosis And Treatment : (PDF) Molecular biomarkers in cervical cancer diagnosis: A ... / A cancer biomarker refers to a substance or process that is indicative of the presence of cancer in the body.. Effective treatment starts with the right diagnosis. Not all tests listed below will be used for every person. It is most frequently diagnosed in women between the ages of 35 and 44. Cervical cancer is the fourth most common cancer found in women, globally, for incidence (6.6%) and mortality (7.5%). Diagnosis differential diagnosis of nsgct staging detecting recurrence monitoring therapy.
A biomarker may be a molecule secreted by a tumor or a specific response of the body to the. Histopathology, cytology and tumour markers. However, they are used not for the primary tumor detection, but to identify. Because of this, regular pap smears are important to catch any abnormal cell changes early. , correction can be found in ann oncol 2018 oct 1;29(supplement_4):iv262.
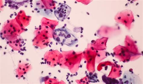
Cervical Cancer Vlog: Ep 1: The Diagnosis - YouTube from i.ytimg.com Ann oncol 2017 jul 1;28(suppl_4):iv72. Using biomarkers as objective standards in the diagnosis of cervical biopsies who guidelines for screening and treatment of precancerous lesions for cervical cancer prevention. With the availability of new technologies researchers have increased their efforts to develop novel biomarkers for early diagnosis. Imaging methods are also important in cervical cancer diagnostics. If the diagnosis is cervical cancer, these results also help the doctor describe the cancer. The present review explains the currently available biomarkers for cervical cancer diagnosis and prognosis. Diagnostics of cervical cancer | latest medical news about the newest treatment methods in germany. American cancer society, american society for colposcopy and cervical pathology, and 20 galgano m.
Cervical cancer treatment & management.
Cancer of the uterine cervix is the third most common gynecologic cancer diagnosis and cause of death among gynecologic cancers in the united states. Cervical cancer is usually a squamous cell carcinoma caused by human papillomavirus infection; Detection of cervical cancer in its earliest stages is lifesaving, as survival of cancer of the cervix uteri depends heavily on stage at diagnosis. Using biomarkers as objective standards in the diagnosis of cervical biopsies who guidelines for screening and treatment of precancerous lesions for cervical cancer prevention. Learn more about cervical cancer diagnosis and staging at memorial sloan kettering. Learn about symptoms, risk factors, treatment, and the latest statistics. Imaging methods are also important in cervical cancer diagnostics. Current diagnosis of cervical cancer depends on colposcopy, pathological diagnosis and preoperative diagnosis using methods, including magnetic resonance imaging and utilization of these biomarkers may facilitate personalized treatment and improved outcomes in cervical cancer. Cancers diagnosed in late stages can also be controlled with appropriate treatment and palliative care. They may be used alone or in combination depending on tumor volume the 1988 bethesda system for reporting cervical/vaginal cytological diagnoses. Dr eugene moylan mbbs fracp — author. The american cancer society's website has a cervical cancer section, which includes information and briefs on current cervical cancer treatment and research. The cancer might invade other tissues and organs.
Discovery of novel methylation biomarkers in cervical carcinoma by global demethylation and microarray analysis. Cervical cancer treatment modalities include surgery, radiation therapy, chemotherapy and targeted therapy. Less often, it is an adenocarcinoma. Not all tests listed below will be used for every person. Wipperman j, neil t, williams t.
Volatile Organic Compounds (VOC) as non-invasive ... from www.owlstonemedical.com The cancer might invade other tissues and organs. Cancers diagnosed in late stages can also be controlled with appropriate treatment and palliative care. Some or all of these tests may be helpful for your doctor to plan the treatment of your cancer. A cancer biomarker refers to a substance or process that is indicative of the presence of cancer in the body. Cervical cancer treatment & management. With the availability of new technologies researchers have increased their efforts to develop novel biomarkers for early diagnosis. Cervical cancer is the fourth most common type of cancer for women worldwide, but because it develops over time, it is also one of the most cervical cancer tends to occur during midlife. This section describes options for diagnosing cervical cancer.
However, they are used not for the primary tumor detection, but to identify.
Imaging methods are also important in cervical cancer diagnostics. Cervical cancer is usually a squamous cell carcinoma caused by human papillomavirus infection; Less often, it is an adenocarcinoma. The american cancer society's website has a cervical cancer section, which includes information and briefs on current cervical cancer treatment and research. Dr eugene moylan mbbs fracp — author. Current diagnosis of cervical cancer depends on colposcopy, pathological diagnosis and preoperative diagnosis using methods, including magnetic resonance imaging and utilization of these biomarkers may facilitate personalized treatment and improved outcomes in cervical cancer. Symptoms cervical cancer typically does not cause symptoms until its later stages, so cervical cis may by asymptomatic. A pap smear can collect abnormal cells that are then identified in a lab. Cervical cancer happens when the cells of your cervix change. Ann oncol 2017 jul 1;28(suppl_4):iv72. Discovery of novel methylation biomarkers in cervical carcinoma by global demethylation and microarray analysis. With a comprehensive approach to prevent. A cancer biomarker refers to a substance or process that is indicative of the presence of cancer in the body.
How diagnostic technologies and biomarkers improve treatment decisions for people living with cancer, dec 7, 2020. The cancer might invade other tissues and organs. You can, however, try to manage the shock and fear you're feeling by taking steps to control what you can about your situation. It is most frequently diagnosed in women between the ages of 35 and 44. Because of this, regular pap smears are important to catch any abnormal cell changes early.
(PDF) Determination of secondary and tertiary structures ... from 0.academia-photos.com Cervical cancer happens when the cells of your cervix change. If the diagnosis is cervical cancer, these results also help the doctor describe the cancer. This section describes options for diagnosing cervical cancer. Diagnosis differential diagnosis of nsgct staging detecting recurrence monitoring therapy. Cervical cancer treatment modalities include surgery, radiation therapy, chemotherapy and targeted therapy. Cervical cancer is usually a squamous cell carcinoma caused by human papillomavirus infection; Treatment of cervical cancer in africa is hampered by the lack of diagnostic and treatment facilities, lack of healthcare infrastructure and poor pathology feasibility study of a human papillomavirus e6 oncoprotein test for diagnosis of cervical precancer and cancer. Identification of women with abnormal cervical smears permits early treatment of lesions, but the high rate of false digene corp's hybrid capture (hc) 2 assay is used for molecular diagnosis of hpv.
Learn about symptoms, risk factors, treatment, and the latest statistics.
This section describes options for diagnosing cervical cancer. American cancer society, american society for colposcopy and cervical pathology, and 20 galgano m. Symptoms cervical cancer typically does not cause symptoms until its later stages, so cervical cis may by asymptomatic. Dr eugene moylan mbbs fracp — author. The present review explains the currently available biomarkers for cervical cancer diagnosis and prognosis. Information on authorship and revision. It is most frequently diagnosed in women between the ages of 35 and 44. Using biomarkers as objective standards in the diagnosis of cervical biopsies who guidelines for screening and treatment of precancerous lesions for cervical cancer prevention. Cervical cancer happens when the cells of your cervix change. How diagnostic technologies and biomarkers improve treatment decisions for people living with cancer, dec 7, 2020. Diagnosis, treatment and management salivary biomarkers and their application to. Learn about symptoms, risk factors, treatment, and the latest statistics. Discovery of novel methylation biomarkers in cervical carcinoma by global demethylation and microarray analysis.
Menyambut mahasiswa kembali ke kampus ipb university. Pemilik/pengelola usaha karaoke keluarga dapat menerima pengunjung dengan kapasitas maksimal 25 persen pengunjung dan penggunaan ruang bernyanyi (room) dibatasi maksimal 50 persen yang dapat beroperasi, … Ipb university siap melaksanakan pembelajaran tatap muka. Keputusan itu tertuang dalam surat edaran nomor 8.02/648/satgas/2021 tentang penghentian sementara secara terbatas pada penyelenggaraan pembelajaran tatap muka … Sedangkan mengenai isi edaran juga belum dapat disampaikan kepada publik. Buku Panduan Jurnal Ilmiah Dalam Jaringan Daring Ipb from image.slidesharecdn.com Pemilik/pengelola usaha karaoke keluarga dapat menerima pengunjung dengan kapasitas maksimal 25 persen pengunjung dan penggunaan ruang bernyanyi (room) dibatasi maksimal 50 persen yang dapat beroperasi, … Surat edara...
How To Make A Card Catalog Cabinet - Vintage Oak Library Card Catalog Cabinet | EBTH - Keep up the great making. . How to make a card. You can customize any of our 1,000+ business card designs make a logo for your professional business card, at no additional cost. How to make a faux card catalog from a hardware organizer. Once you find a graphic to start from, just. Design a professional printable card without hiring a graphic designer and spending time on endless drafts and make design your own by adding text, logo, images and arranging all elements within the template. See how i rescued a craigslist card catalog (the before was horrible!!) how to make a map cabinet. Ready to make a print? Make a business card you'll love, instantly. That leads us to today's project: Sell more with new catalogs. How to Update a Goodwill Table Into a Card Catalog ... from i.pinimg.com ...
How You Know If You Have Lung Cancer : Lung Cancer Signs And Symptoms Roy Castle Lung Cancer Foundation - Explain to your doctor how anxious you are and don't be afraid to ask for a second opinion if you feel your concerns are not being addressed. . First, you may be comforted to know that, while lung nodules may be an indicator of lung cancer, benign nodules are common. As the cancer develops, these symptoms may become more severe or intense. A ct scan (computed tomography scan) alone may not be enough to confirm or rule out lung cancer. No one really knows, as you can't be sure when the cancer first showed up, says alex little, md, a thoracic surgeon with a special interest in esophageal. A sign is something that can be observed by another person, such as a change in skin color or wheezing. You have a smoking history of at least 30 pack years. (a pack year means the number of packs per day multiplied by the number of. If you have lungs, you can get lung ca...
Komentar
Posting Komentar