What Does Throat Cancer Look Like On An X Ray : Esophageal Cancer Diagnosis Imaging Tests Moffitt - For instance, voice changes may be a sign of laryngeal (voice box) cancer, but they would rarely indicate cancer of the pharynx.
Dapatkan link
Facebook
X
Pinterest
Email
Aplikasi Lainnya
What Does Throat Cancer Look Like On An X Ray : Esophageal Cancer Diagnosis Imaging Tests Moffitt - For instance, voice changes may be a sign of laryngeal (voice box) cancer, but they would rarely indicate cancer of the pharynx.. It shows a view from ear to ear and it helps determine if a tumor has grown into the jaw bone. Your voice box sits just below your throat and also is susceptible to throat cancer. For instance, voice changes may be a sign of laryngeal (voice box) cancer, but they would rarely indicate cancer of the pharynx. Throat cancer most often begins in the flat cells that line the inside of your throat. The cancer can also appear as a hole in the bone.
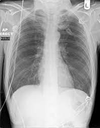
It is often the first imaging test a doctor will order if lung or heart disease is suspected. Each subtype of throat cancer has its own criteria for each stage. The bone at the site of the cancer may look ragged instead of solid. The appearance of throat cancer on the other hand depends on the part of the throat that is affected by cancer and the stage of its development. To evaluate respiratory conditions like asthma, bronchitis, and pneumonia, heart conditions, broken ribs, and to look for fluid and tumors within the chest cavity.
Dysphagia Symptoms Diagnosis And Treatment from cdn-prod.medicalnewstoday.com It shows a view from ear to ear and it helps determine if a tumor has grown into the jaw bone. Throat cancer may spread locally to the lips, mouth or nearby lymph nodes. Throat cancer most often begins in the flat cells that line the inside of your throat. The most common symptom of thyroid cancer is a hard lump on the neck—but most patients experience no symptoms at all. Sometimes doctors can see a tumor around the defect in the bone that might extend into nearby tissues (such as muscle. Throat cancer refers cancer that develops in your throat (pharynx) or voice box (larynx). In general, stage i throat cancer indicates a smaller tumor confined to one area of the throat. In some cases, doctors will notice a tumor around that particular area of the bone.
In general, stage i throat cancer indicates a smaller tumor confined to one area of the throat.
Later stages indicate more advanced cancer, with stage iv being the most advanced. We also look at the various types and the differences between them. How does a colon cancer look like? Let's talk about throat cancer. Where the cancer is located, the bone might appear ragged or look like it has a hole. Throat cancer most often begins in the flat cells that line the inside of your throat. Each subtype of throat cancer has its own criteria for each stage. This involves taking a sample of throat tissue. Hello, i hope someone will advise me because i am so scared that i have throat cancer that i can't sleep or perform any of my daily activities anymore, because this is all i think about. Two in three cases of thyroid cancer occur in people under age 55, and 75%. It is often the first imaging test a doctor will order if lung or heart disease is suspected. The tumor may extend into other bone tissue nearby like muscle or fat. Your throat is a muscular tube that begins behind your nose and ends in your neck.
I had an on and off sore throat and hoarseness for many many months, but was a smoker. Let's talk about throat cancer. We also look at the various types and the differences between them. How does a colon cancer look like? If they notice signs of a problem, they'll look carefully inside your mouth and throat, sometimes with a special lighted tool, and may feel your jaw and neck for lumps or patches.
Childhood Laryngeal Tumors Treatment Pdq Patient Version National Cancer Institute from nci-media.cancer.gov In some cases, doctors will notice a tumor around that particular area of the bone. Lung cancer tumors look like white round circles on cxr. In general, stage i throat cancer indicates a smaller tumor confined to one area of the throat. Sometimes doctors can see a tumor around the defect in the bone that might extend into nearby tissues (such as muscle. There could still be cancer in other places. Ameloblastoma isn't the same as jaw cancer or mouth cancer, head and neck cancer, nor even a bone cancer. If they notice signs of a problem, they'll look carefully inside your mouth and throat, sometimes with a special lighted tool, and may feel your jaw and neck for lumps or patches. I am a 19 year old male.
Lung cancer tumors look like white round circles on cxr.
The appearance of throat cancer on the other hand depends on the part of the throat that is affected by cancer and the stage of its development. Lung cancer tumors look like white round circles on cxr. Later stages indicate more advanced cancer, with stage iv being the most advanced. For instance, voice changes may be a sign of laryngeal (voice box) cancer, but they would rarely indicate cancer of the pharynx. Your voice box sits just below your throat and also is susceptible to throat cancer. Let's talk about throat cancer. This mass will look like a white spot on your lungs, while the lung itself will appear black. Sometimes doctors can see a tumor around the defect in the bone that might extend into nearby tissues (such as muscle. If they notice signs of a problem, they'll look carefully inside your mouth and throat, sometimes with a special lighted tool, and may feel your jaw and neck for lumps or patches. Lung cancer and throat cancer sometimes occur at the same time. The most sensitive way to detect throat cancer is to have an. The leukoplakia is apparent under imaging test and cannot be rubbed off. The most common symptom of thyroid cancer is a hard lump on the neck—but most patients experience no symptoms at all.
The cancer can also appear as a hole in the bone. I am a 19 year old male. If they notice signs of a problem, they'll look carefully inside your mouth and throat, sometimes with a special lighted tool, and may feel your jaw and neck for lumps or patches. Each subtype of throat cancer has its own criteria for each stage. Lung cancer and throat cancer sometimes occur at the same time.
Foreign Bodies On Lateral Neck Radiographs In Adults Imaging Findings And Common Pitfalls Radiographics from pubs.rsna.org For instance, voice changes may be a sign of laryngeal (voice box) cancer, but they would rarely indicate cancer of the pharynx. Please help, i am terrified! If the fna doesn't show cancer, it only means that cancer was not found in that lymph node. The most common symptom of thyroid cancer is a hard lump on the neck—but most patients experience no symptoms at all. How does a colon cancer look like? Two in three cases of thyroid cancer occur in people under age 55, and 75%. Ultrasound is useful in a few instances. This mass will look like a white spot on your lungs, while the lung itself will appear black.
Two in three cases of thyroid cancer occur in people under age 55, and 75%.
Prior to testing, the table will glide into the tunnel where it remains in position until testing is completed. Lung cancer tumors look like white round circles on cxr. Lung cancer and throat cancer sometimes occur at the same time. If the fna doesn't show cancer, it only means that cancer was not found in that lymph node. Let's talk about throat cancer. It is often the first imaging test a doctor will order if lung or heart disease is suspected. Ultrasound is useful in a few instances. More stories you might like. I had an on and off sore throat and hoarseness for many many months, but was a smoker. Throat cancer refers cancer that develops in your throat (pharynx) or voice box (larynx). The tumor may extend into other bone tissue nearby like muscle or fat. Ameloblastoma isn't the same as jaw cancer or mouth cancer, head and neck cancer, nor even a bone cancer. There could still be cancer in other places.
Menyambut mahasiswa kembali ke kampus ipb university. Pemilik/pengelola usaha karaoke keluarga dapat menerima pengunjung dengan kapasitas maksimal 25 persen pengunjung dan penggunaan ruang bernyanyi (room) dibatasi maksimal 50 persen yang dapat beroperasi, … Ipb university siap melaksanakan pembelajaran tatap muka. Keputusan itu tertuang dalam surat edaran nomor 8.02/648/satgas/2021 tentang penghentian sementara secara terbatas pada penyelenggaraan pembelajaran tatap muka … Sedangkan mengenai isi edaran juga belum dapat disampaikan kepada publik. Buku Panduan Jurnal Ilmiah Dalam Jaringan Daring Ipb from image.slidesharecdn.com Pemilik/pengelola usaha karaoke keluarga dapat menerima pengunjung dengan kapasitas maksimal 25 persen pengunjung dan penggunaan ruang bernyanyi (room) dibatasi maksimal 50 persen yang dapat beroperasi, … Surat edara...
How To Make A Card Catalog Cabinet - Vintage Oak Library Card Catalog Cabinet | EBTH - Keep up the great making. . How to make a card. You can customize any of our 1,000+ business card designs make a logo for your professional business card, at no additional cost. How to make a faux card catalog from a hardware organizer. Once you find a graphic to start from, just. Design a professional printable card without hiring a graphic designer and spending time on endless drafts and make design your own by adding text, logo, images and arranging all elements within the template. See how i rescued a craigslist card catalog (the before was horrible!!) how to make a map cabinet. Ready to make a print? Make a business card you'll love, instantly. That leads us to today's project: Sell more with new catalogs. How to Update a Goodwill Table Into a Card Catalog ... from i.pinimg.com ...
How You Know If You Have Lung Cancer : Lung Cancer Signs And Symptoms Roy Castle Lung Cancer Foundation - Explain to your doctor how anxious you are and don't be afraid to ask for a second opinion if you feel your concerns are not being addressed. . First, you may be comforted to know that, while lung nodules may be an indicator of lung cancer, benign nodules are common. As the cancer develops, these symptoms may become more severe or intense. A ct scan (computed tomography scan) alone may not be enough to confirm or rule out lung cancer. No one really knows, as you can't be sure when the cancer first showed up, says alex little, md, a thoracic surgeon with a special interest in esophageal. A sign is something that can be observed by another person, such as a change in skin color or wheezing. You have a smoking history of at least 30 pack years. (a pack year means the number of packs per day multiplied by the number of. If you have lungs, you can get lung ca...
Komentar
Posting Komentar